Consultorio de Cirugía y Gastroenterología

Si buscas hosting web, dominios web, correos empresariales o crear páginas web gratis, ingresa a PaginaMX
Por otro lado, si buscas un generador de códigos qr ingresa al Creador de Códigos QR más potente que existe

Si estás buscando productos para sublimación de excelente calidad, te recomendamos a uno de los mejores distrbuidores de productos para sublimar en México, Color Make. Cuentan con una amplia variedad de productos como son: tazas para sublimar, plumas, mochilas, rompecabezas, termos, botellas y mucho más. Además de sublimación también tienen productos para otras técnicas de transferencia de imágenes como son: DTF, Vinil Textil, Grabado Láser y Transfer.


COLECISTECTOMIA

La Colecistectomía es una de las Intervenciones quirúrgicas más comunes de la cirugía del tubo digestivo. Siendo la presencia de cálculos la enfermedad más frecuente. La cirugía se puede realizar en forma Abierta clásica y por laparoscopía en casos seleccionados.

Todos los pacientes con cálculos sintomáticos deben ser intervenidos quirúrgicamente. Los pacientes que no tengan molestias se deben intervenir también en algunas situaciones por ejemplo: Pacientes que habitan en zonas lejanas donde los cuidados médicos no son tan rápidos. Pacientes que tienen una bomba de infusión para tratamiento de cáncer de colon metastásico a hígado.

La Colecistectomía abierta se hace generalmente a través de una incisión subcostal, derecha y una vez que se abre la cavidad abdominal se explora toda, para identificar otras patologías. Si no hay alguna otra evidencia de otra enfermedad, se procede a la colecistectomía………..

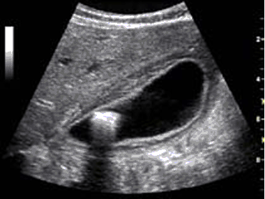
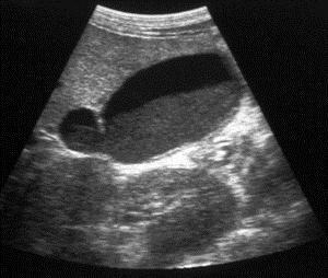
Para hacer el diagnóstico de enfermedad vesicular el estudio de elección es el Ultrasonido, y además de cálculos se pueden encontrar otras alteraciones como tabiques congénitos y lodo biliar que también provocan la inflamación de la vesícula.

La colecistectomía es una operación que realizada oportunamente tiene mínimos riesgos y complicaciones.

 

                                                   

 COLECISTECTOMIA ABIERTA EN PACIENTE CON COLECISTITIS AGUDA  


                                                                                       

  COLECISTECTOMIA LAPAROSCOPICA

                                         
 

 ULTRASONIDO QUE DEMUESTRA UN CÁLCULO GRANDE EN LA VESICULA 

                                                                                         
                                         

 

ULTRASONIDO QUE  DEMUESTRA LODO BILIAR Y UN TABIQUE INTRAVESICULAR